MDAD019 DNase I
Endonuclease that nonspecifically cleaves DNA only.
Product Description
DNase I is a DNA-specific endonuclease that cleaves double-stranded and single-stranded DNA to oligonucleotide products with 5'-phosphate and 3’-OH. The enzyme is expressed in E. coli as a recombinant 6His-tagged fusion protein, and the 6His-tag together with the fusion are removed during purification.
DNase I is free of RNase activity.
Applications
Removal of DNA templates in in vitro RNA transcription reactions.
Preparation of RNA samples free of genomic DNA contamination during RNA purification or cleanup.
Controlled DNA digestion in such as DNA fragmentations.
Unit Definition
One unit of DNase I is defined as the amount of enzyme that completely degrades 1 µg of pBR322 plasmid DNA in 10 minutes at 37 °C.
Concentration
2 U / µl
Recommended Reaction Condition
Set up reactions in 1X DNase I Reaction Buffer with 2 U (1.0 µl of MDAD019) and incubate at 37 °C for 15 min. Add 0.5 M EDTA to a final concentration of 5 mM (~1.5x higher than the concentration of total divalent ions in the reaction) and incubate at 85 °C for 10 minutes to inactivate DNase I before downstream applications. When necessary, dilute samples to avoid high salt concentration which is known to inhibit DNase I activity. There is no significant inhibition of activity at < 50 mM salt and ~50% activity at 100 mM salt.
Key Performance Data
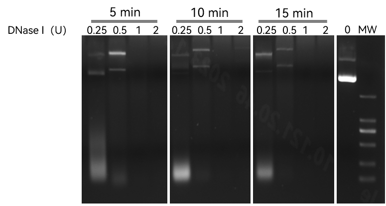
Rapid Degradation of DNA by DNase I

Time course of DNA degradation by DNase I. DNase I digestion reaction was set up with 1 µg of pBR322 plasmid DNA in standard reaction buffer with 0.25, 0.5, 1.0 or 2.0 U of DNase I and incubated at 37 ℃ for 5, 10 or 15 min. The reactions were stopped by adding 10 mM EDTA and then analyzed by 1 % agarose gel electrophoresis. As shown, even 5 min digestion was able to degrade 1 µg of pBR322 plasmid DNA. In our protocol, we recommend 15 min digestion time to assure completely removal of DNA.
Suitable to Remove DNA in RNA Applications

DNase I is free of RNase activity on single-stranded (A) or double-stranded RNA (B). RNA template were treated with 1, 2 or 4 U of DNase I in standard digestion buffer in 20 μl at 37 ℃ 15 min. After inactivation of the DNase I, 5 μl of the reaction was mixed with equal volume of 2 x RNA loading buffer and analyzed in a 1% TBE agarose gel. The RNA remain intact in all reactions.
-
QA
Join us for a better future of IVD.
If you have any question or need any support, please fill out the information below.